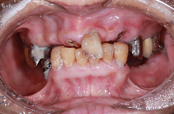
このようなお悩みはございませんか?

- 歯がボロボロで恥ずかしくて歯医者に行けない
- 歯医者にトラウマがある
- 歯医者が怖くて通えない
- 歯がボロボロで人前で口を開けて笑えない
- 歯がなくて食べたいものが食べられない
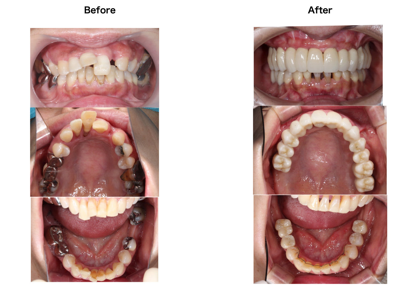
当院は歯がボロボロの方でも大歓迎です!!
歯がボロボロになったことには、きっと何らかの理由があると思っています。
- 過去に歯医者さんで痛い思い、嫌な思いや怖い思いをした
- 歯医者さんに、怒られたことがある
- 仕事が忙しくてどうしても歯科医院に通院できない
など、人により様々な原因やきっかけがあるのではないかと思います。
当院では、お悩みを持たれた方や、歯がボロボロの方が少しでも安心して通っていただけるような取り組みを行っています。








