審美歯科

Content

岡山で審美歯科|金山デンタルクリニック

審美歯科とは何か?
―当院が考える"審美"の定義

審美歯科

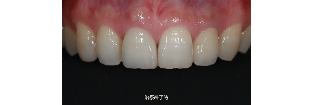
「見た目がきれい」なだけでは、本当の審美歯科治療とは言えません。 金山デンタルクリニックが考える審美治療とは、歯の白さや形の美しさだけでなく、正しいかみ合わせや歯茎の健康、そしてお顔全体との調和までを大切にする、総合的な口元のデザインです。 たとえば、セラミックの被せ物ひとつとっても、ただ白ければ良いわけではありません。天然歯のような透明感や立体感を持ち、自然な光の透け方までも再現できるよう、当院では高い技術力と豊富な経験をもとに、一人ひとりの骨格や笑顔に調和した仕上がりを追求しています。 さらに、セラミックを長持ちさせるためには、「見た目」以上に「かみ合わせ」や「歯並びのバランス」が非常に重要です。せっかく白く美しい歯を手に入れても、噛み合わせが乱れていれば、割れてしまったり不自然な印象になったりすることも。 私たちは見た目と機能の両立にこだわり、健康的で自然な美しさを長く保てる治療を行っています。

岡山で審美歯科を提供する金山デンタルクリニックの特徴

金山デンタルクリニックの審美治療3つの特徴

見た目の美しさだけでなく機能と調和まで考え抜いた総合的な審美治療

1.「見た目の美しさ」だけでなく「機能と調和」まで考え抜いた総合的な審美治療

当院が考える審美治療は、単に白く美しい歯を作ることではありません。
健康な歯ぐき・正しいかみ合わせ・美しい歯並び・お顔とのバランスまで含めて、すべてが整ってこそ“本物の美しさ”だと私たちは考えます。

セラミックは、ただ白いだけではなく、天然歯のような質感・透明感を再現する必要があります。歯の形や長さが、お顔全体の印象にどう影響するかまでしっかり診査し、あなただけの美しさを一緒に創り上げていきます。

初回のカウンセリングでは、ご希望やお悩みを丁寧にお聞きしながら、ご納得いただけるまで治療計画をご相談いたします。治療を“される”のではなく、一緒に“つくる”ことを大切にしています。

世界水準のデジタル技術を駆使した、精度と快適性の両立

2.世界水準のデジタル技術を駆使した、精度と快適性の両立

金山デンタルクリニックでは、デジタル設備を駆使し、精密で再現性の高い審美治療を提供しています。

スキャナーを用いた3Dの歯列・顔貌データの取得、AIによる歯の色彩分析、デジタル咬合(かみ合わせ)解析により、患者様お一人お一人に最適なセラミック設計が可能です。

これにより、従来のような不快な歯型取りが不要になり、治療中のストレスも大幅に軽減されました。また、技工所への模型発送が不要になることで、治療期間の短縮にもつながっています。

さらに、当院が連携する技工所は、世界的にもトップレベルのデジタル知識・経験を有しており、質・デザインともに圧倒的に美しいセラミックをお届けできます。

3.拡大視野での精密治療と一流技工士との妥協なき連携

美しいセラミックを仕上げるには、土台となる歯の形成の精度が非常に重要です。当院ではマイクロスコープを使用し、肉眼では見えないミリ単位の視野で、精密に歯を削ります。
歯とセラミックのフィット感が高まり、脱離や虫歯リスクを最小限に抑えることができます。また、歯ぐきを傷つけないことで、長期的に美しい仕上がりを保てます。

さらに、当院では10年以上の信頼関係のある、一流の技工士と密な連携体制をとっています。
デザインの段階からモニター越しにセラミックの色味や形を共有し、納得いくまで調整を重ねています。難症例では、技工士が直接立ち会い、患者様の表情やお悩みを直接伺いながら仕上げにこだわります。

拡大視野での精密治療と一流技工士との妥協なき連携

審美治療シミュレーション画像

当院が主に行う審美歯科の種類

  • ホワイトニング治療
  • ダイレクトボンディング
  • セラミックの被せ物
  • セラミックの詰め物
  • セラミックの接着ブリッジ
  • ラミネートベニア

こんな方におすすめです

1. 見た目の美しさだけでなく、機能性や健康面も重視したい方

  • 「ただ白く整った歯」ではなく、かみ合わせ・歯茎の健康・顔のバランスまで含めた自然な美しさを求める方
  • 歯の形や大きさ、笑った時の印象まで含めて、総合的に口元を美しくしたい方

2. 信頼できる歯科医師と、じっくり相談しながら治療を進めたい方

  • 治療の選択肢をきちんと説明してもらいたい方
  • 医師の経験や技術、実績を重視し、一人ひとりに合った丁寧なカウンセリングを求める方

3. 過去に審美治療を受けたが、仕上がりや持ちに不満があった方

  • 「セラミックがすぐに割れた」「かみ合わせが合わず違和感がある」といったお悩みを持つ方
  • 他院での仕上がりに不満があり、再治療を検討している方

4. 時間と費用をかけてでも、長く満足できる治療を受けたい方

  • 安さではなく、仕上がりの質や長期的な安定性を重視する方
  • ご自身の将来を見据えて、しっかりと治療を受けたいと考えている方

技術の裏側:チーム医療でつくる”美”
― 技工士×歯科医師の“同席設計”という贅沢 ―

  • 株式会社S.T.F とタッグを組み、治療ごとにミーティングを行う特別な技工体制
  • 技工士が顔貌データを見ながらデザインソフトで設計 ― 感覚ではなく「根拠ある美」を追求
  • デジタル機器を駆使している
    トリオス
    トリオス
    フェイススキャン
    フェイススキャン

    フェイススキャン画像

    フェイススキャン
    フェイススキャン

1. 「同席設計」で叶える、患者様の理想に寄り添う美しさ

金山デンタルクリニックでは、審美治療の成功には“チーム医療”が欠かせないと考えています。私たちは、国内外の講演活動や技工士向けセミナーでも活躍する株式会社S.T.F代表・藤松氏と長年タッグを組み、セラミック治療の一つひとつに丁寧に向き合っています。

一般的な歯科医院では、歯科医師が「技工指示書」に情報を文章や写真でまとめ、歯科技工士に補綴物(セラミックなど)の製作を依頼します。しかしこの方法では、色味や質感、形の微細なニュアンスがうまく伝わらず、患者様のご希望とのズレが生じてしまうこともあります。

当院では、そうした「伝わりきらない部分」に妥協しません。 セラミック治療に際し、症例に応じて治療計画やデザインの段階から歯科技工士とオンラインや対面でのミーティングを行い、歯列や顔貌の3Dスキャンデータ情報を共有しながら補綴物を共に設計しています。患者様のご要望やライフスタイル、表情の癖までを含めて共有するからこそ、心から満足いただける“その人だけの美しさ”を再現できるのです。

また、必要に応じて技工士が実際に診療室で仮歯やセラミックの色味・形態を直接確認する場面もあります。写真やデータだけでは伝わらない質感や自然な表情との調和を、現場での「立ち会い」によって追求しています。

2. 「感覚」だけに頼らない、デジタルと科学的根拠に基づいた美の設計

審美治療において、「美しさ」の感じ方には個人差があります。しかし、歯科医療の世界では、顔貌や咬合、歯並びには黄金比といった学術的な基準が存在します。

金山デンタルクリニックでは、単なる感覚だけに頼らず、科学的根拠と審美的センスの融合を重視した治療を行っています。お顔全体のバランスや笑ったときに見える歯の位置・大きさ、かみ合わせの安定性などを、専用のデザインソフトで立体的に解析しながらセラミックの形や色を設計します。

さらに、デジタル技術を活用し、複数のパターンを比較・修正することも可能です。従来法では時間やコストの都合上、複数のパターンで進めるのが困難でしたが、当院では患者様の満足を最優先に、納得がいくまで試行錯誤を重ねます。

「この角度から見た時の印象は?」「笑ったときに自然か?」——そんな細部までこだわることができるのも、デジタル×チーム医療という体制があるからこそ。

3. 症例に応じて選び抜く、豊富で高品質な材料ラインナップ

補綴物の美しさや耐久性は、「設計」だけでなく使う材料の質にも大きく左右されます。 多くの技工所では、1〜2種類のジルコニアやセラミック材を使って全ての症例に対応するのが一般的ですが、金山デンタルクリニックと連携している株式会社S.T.Fでは異なります。

株式S.T.Fでは、国内外の多数のメーカーから色味や透明感、強度の異なる材料を厳選して在庫しています。症例ごとに「どの材料が一番適しているのか」を考え、実際に検証したうえで選択。非効率に思えるこの方法こそが、「本当に患者様のためになる」と考えるS.T.Fの姿勢であり、私たちが全幅の信頼を置く理由です。

さらに、S.T.Fではメーカーのデータだけに頼らず、自社で品質テストを実施し、本当に信頼できる材料だけを採用。そうして作られる補綴物は、ただ美しいだけでなく、長期的に安定した仕上がりが期待できます。

私たちの審美治療は、すべて「誰のために治療をしているのか」という一点に立ち返りながら、一切の妥協なく、最高の結果を追求しています。

担当技工士の紹介

技工士 藤松 剛の写真

株式会社S.T.F代表
藤松 剛
Takeshi Fujimatsu

略歴

2003年 STF Dental Service 開業
2012年 株式会社S.T.F Kyoto 設立
2020年 株式会社S.T.F Tokyo 設立
2022年 株式会社S.T.F Digital Transformation Center 設立
2024年 大阪セラミックトレーニングセンター宮崎校
週末コース29期 卒業

認定・役職

  • CM Pekkton Instructor
  • 3shape LAB Ambassador
  • 3Shape Global Key Opinion Leader
  • Imago Works Technical Adviser
  • Imago Works Global Key Opinion Leader
  • HASS Key Opinion Leader
  •  
  • 大阪セラミックトレーニングセンター宮崎校 インストラクター

執筆

2019年 クインテッセンス出版
QDT別冊『ZIRCONIA MONOLITHIC RESTORATION COMPLETE BOOK』掲載
2020年10月〜

2023年3月
クインテッセンス出版 『QDT』連載
2022年 松風歯科クラブ2021年版
『COLORATLASN.51 ジルコニア補綴 A-Z』
2025年1月〜

2025年6月
クインテッセンス出版 『QDT』連載

歯科技工士向けのセミナー講演も多数登壇

料金・保証制度

セラミック治療の費用について

「自分に合った治療がいくらかかるのか分からなくて不安…」 そんなお気持ちをお持ちの方も、どうぞご安心ください。

金山デンタルクリニックでは、治療前に費用の目安や内訳を丁寧にご説明し、患者さまが納得して治療に進めるようサポートしています。

セラミック治療にかかる費用は、歯の状態や治療の内容によって異なります。 そのため、初回のカウンセリングでお口の状態を確認したうえで、ご希望やご予算に合わせた治療プランをご提案いたします。

ダイレクトボンディング(前歯) 44,000円(税込)
ダイレクトボンディング(奥歯) 44,000〜55,000円(税込)
ジルコニアピュアクラウン 71,500円(税込)
ジルコニアステインクラウン 93,500〜110,000円(税込)
ジルコニアポーセレン 132,000〜154,000円(税込)
ジルコニアインレー 88,000円(税込)
E-maxインレー 88,000円(税込)
ラミネートベニア 154,000円(税込)
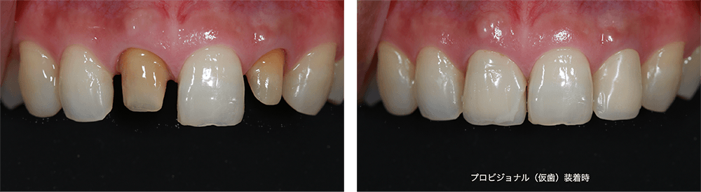
プロビジョナル(仮歯) 77,000円(税込)

当院では、以下のお支払い方法をご利用いただけます。

  • 現金
  • クレジットカード(VISA/Master/JCB/AMEXなど)
  • デンタルローン
    「今すぐ治療したいけれど、一括は難しい…」という方には、金利負担の少ないデンタルローンもご案内しております。お気軽にご相談ください。

デンタルローンのご案内

当院では、費用面のご負担を少しでも軽減できるよう、デンタルローンの取り扱いもございます。
月々のお支払い回数や金額は自由にご相談いただけますので、安心して治療をスタートしていただけます。

医療費控除について

また、セラミック治療を含む自費診療の一部は、条件を満たすことで医療費控除の対象となる場合があります。

費用について気になること、不安に思うことがありましたら、どうぞお気軽にご相談ください。
私たちは、患者さまが安心して治療を受けられるよう、丁寧にサポートさせていただきます。

保証制度

セラミック治療には「安心の3年保証制度」があります。

金山デンタルクリニックでは、患者さまに安心してセラミック治療を受けていただけるよう、3年間の保証制度を設けております。治療後に万が一トラブルが生じた場合でも、一定の条件を満たしていれば、保証の範囲内で対応させていただきます。

保証制度のご利用には条件があります。

保証制度のご利用条件

保証を適用するには、以下のような条件がございます。

  • 定期的なメンテナンスを受けていただいていること
  • 医師の指示に沿った適切なケアを行っていただいていること など

詳しい条件や適用範囲については、どうぞお気軽にお問い合わせください。

よくある質問

セラミック治療は何年くらいもちますか?

正しく噛める状態を保ち、定期的なメンテナンスを受けていただければ、10年以上もつケースも少なくありません。日々のケアや生活習慣によっても変わってきますので、詳しくはご相談ください。

色や形はどこまで希望に応えられますか?

患者様のご希望にお応えできるよう、事前にカウンセリングや仮歯の確認をしながら進めます。自然な白さから明るい白さまで、形もバランスを見ながらご提案いたします。

保険診療との違いは何ですか?

保険診療では素材や形に制限がありますが、セラミック治療では見た目の美しさ、強度、精密さに優れた材料を使い、より自然で長持ちする仕上がりを目指せます。詳しくは実際の症例を交えてご説明いたします。

他院で治療中ですが、途中からお願いできますか?

はい、可能です。現在の治療の状況を確認した上で、当院での対応が可能かを判断いたします。まずはカウンセリングにお越しください。

セラミック治療って、歯をかなり削るんですよね?

必要最小限の削合で済むよう、常に心がけて治療を行っています。仕上がりのご希望や歯の状態によって削る量は異なりますので、詳しくは診察の際に丁寧にご説明します。

セラミックにしたのに、すぐ欠けたと友人が言っていました。耐久性は大丈夫ですか?

セラミックはとても丈夫な素材ですが、強い力が加わると割れる可能性もあります。当院では噛み合わせの確認や、必要に応じてマウスピースのご案内も行い、できるだけ長持ちするようサポートしています。

銀歯を全部白くしたいのですが、健康保険は使えますか?

一部の条件を満たせば、保険で白い素材を使えるケースもありますが、自由診療の方が見た目や強度の面で優れた選択が可能です。具体的にはお口の状態を拝見してからご説明いたします。

ホワイトニングをすると歯がしみるって聞いたのですが…

一時的にしみることがありますが、多くの場合は数日でおさまります。症状が出にくい方法もご用意していますので、不安な方はぜひご相談ください。

セラミックやホワイトニングの“持ち”はどのくらいですか?

セラミックは10年以上、ホワイトニングは数ヶ月〜1年ほど効果が続くことが多いです。どちらもメンテナンス次第で、より長く美しさを保つことができます。

カウンセリングだけ受けて、治療を決めなくてもいいですか?

もちろん大丈夫です。無理に治療をすすめることはありませんので、まずはお話だけでもお気軽にお越しください。

矢印