銀の詰めものをEーmaxインレーとジルコニアインレーにて修復した症例
今回の症例は、元々銀の詰め物を装着していた2本の歯に対して、虫歯の治療を行い、セラミックインレーとジルコニアインレーを装着した症例です。白い詰め物や、白い被せ物といえばセラミックが有名かと思います。しかし、白い材料はセラミックだけではありません。
現在、自由診療で一般的に使用されている非金属の白い材料にはEーmaxという材料とジルコニアという材料があります。
また保険診療では、レジン、CAD/CAMブロック、PEEKなどがあります。それぞれに特徴があり、症例に応じて使い分けております。
今回は、同じ患者さんで別々の異なる種類の材料で治療を行っていますが、なぜ種類を分けたのかも解説していきたいと思います。
最後までご覧ください。
患者様の情報

- 患者様の基本情報:
- 30代 男性
- 既往歴は特になし
生活習慣にも特に問題ありません。 - 初診時の主訴:
- 銀の詰め物を白くしたい
- 歯科医師による診断:
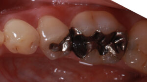
右下奥歯の2本には、過去に保険診療で行われた銀の詰め物(インレー)が装着されていました。銀の詰め物の縁の部分には段差や溝があり、レントゲンで確認をすると銀の詰め物の下に虫歯もある状態でした。原因としては、前回の治療で虫歯を取り残していたか可能性、もしくは、古くなった詰め物の縁から細菌が侵入してしまった可能性が考えられます。
治療計画と治療内容
治療計画
銀の詰め物を除去して、内部の虫歯を完全に取り除きます。
その後、神経に炎症などが生じて痛みが出ないように覆髄剤と仮のセメントで仮蓋をして1~2週間経過観察を行います。
詰め物については、小さな歯にはE -MAX、大きい歯にはジルコニアを用いて詰め物作製する計画にしました。
小さな範囲の修復になる小さな歯は審美を重視してEーmaxを選択し、大きな歯には食事などで強い力が掛かることを想定し、強度の高いジルコニアを選択しました。
EーMAXとジルコニアの違い
Eーmaxもジルコニアもどちらも白い材料ですが特徴が異なります。
・E-max(イーマックス)は、歯科治療で用いられるセラミック素材の一種です。ニケイ酸リチウムガラスセラミックを主成分としています。
透明感に優れており、審美性が高いことが利点です。しかし、ジルコニアに比較して割れやすいというデメリットがあります。
・ジルコニアは二酸化ジルコニウムといい、人工ダイヤモンドとも呼ばれます。歯科で使用する白い材質の中では、最も割れにくい材料となります。しかし、やや透明感に欠けるため審美性についてはEーmaxに劣ります。
EーMAXとジルコニアの使い分け
E -maxは前歯や奥歯でも小臼歯などの笑った時に見える箇所に使用することが多い材料です。
また、割れるリスクがあるため奥歯で使用する時には、比較的小さな範囲の修復に使用するケースが多いです。
ジルコニアは、主に奥歯で使用することが多い材料です。
当院では、透明度の高いジルコニアを使用し、ジルコニア内部に色を染み込ませる技法(インターナルステイン)を用いて前歯にも使用することがあります。その他には、インプラントの歯やブリッジ、セラミックの内側に強化フレームとして使用することが一般的です。
当院での使い分けの基準は、見た目を重視した治療を行う時には、E-MAXを使用し、強度を重視する時は、ジルコニアを使用しています。
治療後の状態

2種類の異なる材質で治療を行いましたが、審美的にはどちらも満足いく仕上がりになりました。
よく見ていただくと、ジルコニアの方がEーmaxに比較して色馴染みが足りておらず、色が浮いている感じがします。これが、材質の透明感の違いです。
より審美性を重視するなら、E -maxの方が有利でしょう。
セラミックを用いた治療は、治療後に食事や歯ぎしり、食いしばりなどで破折する可能性があります。
夜間の就寝時にはナイトガード(マウスピース)を使用することを推奨します。
また、セラミック治療は虫歯の発生率を下げる可能性はありますが、100%虫歯を予防するものではありません。毎日の歯ブラシや規則正しい食生活と歯科医院での定期検診が必ず必要となります。
費用について
治療にかかった費用の内※保険適用外の自由診療です。
- Eーmax インレー(詰め物) ¥88000(税込)
ジルコニアインレー(詰め物) ¥88000(税込)
治療期間 約1ヶ月
治療回数 3回
治療の費用は、治療を行なった時点での費用となっております。
実際の治療費用と異なる可能性がございます。ご了承ください。
当院では、自由診療の治療費用についてはクレジットカードがご利用いただけます。また、デンタルローンでのお支払いも可能となっております。
治療後のリスク、アフターケアについて
ジルコニアは強い衝撃に弱く破折する可能性があります。
食事の際に注意が必要です。また就寝時の歯ぎしりや食いしばりによって破折するリスクがあるため就寝時にマウスピースを装着することを推奨します。
虫歯や歯周病にならないよう、日々のケアが大切で、定期的に歯科医院でのチェックも大切になります
まとめ
今回は、銀歯を白くするために2種類の材料を使用した症例でした。材質によって治療後のイメージが変わることをご理解いただくのにはとても有益な症例だったかと思います。
当院では、症例毎に最適な材質を選択し、患者様とカウンセリングで相談しながら最終的な材質の決定を行なっております。当院は、審美を重視したい方、もしくはなるべく割れないような強度を重視した治療を希望される方、どちらにも対応できるようになっております。また、自分に合ったセラミック治療が分からないという方へも、メリット、デメリット含めて丁寧にご説明させていただきます。こちらから、治療方法についてもご提案させていただきますので、どうぞご安心ください。選択した材質によって、その後のケアや注意すべき内容も異なりますので治療後のケアについてしっかりアドバイスをさせていただきます。治療終了後は定期検診にてアフターケアも丁寧に行なっております。
セラミック治療でお悩みの方はぜひ岡山市北区にあります、金山デンタルクリニックまでお問い合わせください。

