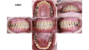
叢生(歯並びのガタつき)に対する矯正治療 — 症例:50代女性
患者情報・主訴
- 年齢・性別:50代・女性
- 主訴:前歯のガタつき(叢生)が気になる


治療方針・内容
全顎的な虫歯の治療と、歯並びの改善でご相談をいただきました。かねてから、前歯の叢生について悩んでおられ、今回気になるところを全て治療したいという思いで来院されたのことです。
本症例は、非抜歯での治療が可能と判断し、マウスピース矯正(インビザライン)を主体に、一部でブラケットとワイヤーを併用して仕上げを行いました。年齢的な背景と審美的希望を踏まえ、歯の移動量を最小限に抑えつつ安定した咬合を目指しました。
使用装置
- インビザライン(マウスピース型矯正装置)
- ブラケット+ワイヤー(必要箇所のみ)
診査・診断のポイント
模型分析・セファロ分析の結果、骨格的な問題はわずかで、口元の突出等による改善は不要と判断しました。年齢・歯周状態を考慮し、抜歯を回避した非抜歯矯正が適応と判断しています。
治療の流れ
- 初診カウンセリング(主訴の確認、希望の把握)
- 精密検査(口腔内写真・模型採得・セファロ撮影・歯周検査)
- 診断・治療計画の提示(非抜歯での可否、期間、費用等)
- 装置装着(インビザラインのアタッチメント装着 + 必要部位にブラケット装着)
- 定期調整(通常4〜8週間毎/アライナー交換に合わせたチェック)
- 微調整(ワイヤーや補助装置で仕上げを実施)
- 保定(リテーナー装着で後戻り防止)
※本症例ではインビザライン単独だと一部前歯の動きが不十分だったため、ブラケット+ワイヤーで補助して理想的な配列に仕上げています。

治療終了
矯正治療を行うことで、見た目の改善だけでなく、前歯の叢生(ガタガタ)が解消される事で、磨き残しが解消され虫歯や歯周病のリスクも軽減することができました。
また前歯も咬合に参加する事で、臼歯(奥歯)への負担も軽減されています。
審美だけでなく、口腔機能も改善、向上することができました。

治療期間
約 8ヶ月
費用
矯正治療:550,000円(税込)
※保険適用外の自由診療です。
リスク・副作用(必ずご確認ください)
- 装置装着時の痛みや違和感が生じることがあります。
- 装置により口腔清掃が難しくなり、虫歯や歯周病のリスクが高まります。セルフケアと定期的なクリーニングが重要です。
- 治療完了後に後戻りする可能性があり、保定装置(リテーナー)の継続使用が必須です。
- 年齢や歯周組織の状態によっては、歯の移動に伴い歯根吸収や歯周組織への負担が出ることがあります。
当院の特徴(矯正治療で心がけていること)
- 患者さんの希望を最優先に、過剰な治療は行わず「必要最小限」の移動を目標にします。
- 精密な診査(模型分析・セファロ)に基づく計画で、安定した終了と長期的な維持を重視します。
- 症例の診断に応じてマウスピース、ワイヤーを使用し、ハイブリッドな治療で審美性と機能性を両立します。
- 金山デンタルクリニック(岡山市北区)では、治療後の定期メンテナンス・リコールにも力を入れています。
ご相談・ご予約
矯正治療に関するご相談はお気軽に金山デンタルクリニック(岡山市北区)へご連絡ください。
初回カウンセリングで検査の必要性や治療の選択肢、期間・費用の詳細をご説明します。
矯正治療の詳細ページ(当院)
執筆者
金山 正嗣(かなやま まさつぐ)
岡山市北区出身。福岡歯科大学卒業後、大阪堺市の歯科医院に勤務し国内外で研鑽を積む。
2020年、地元岡山で金山デンタルクリニックを開院。
口腔インプラント学会所属、Study group SGIC会長、DSR代表、ARDEC研究員などインプラント分野でも精力的に活動中。
■ 金山デンタルクリニック
-
住所:〒700-0976
岡山市北区辰巳23-106
-
電話番号:086‑236‑8249
-
駐車場:無料5台、近隣に臨時駐車場3台(無料)あり
■ 診療時間・休診日
|
曜日 |
診療時間(受付終了は各診療終了30分前) |
|---|---|
|
月・火・水・金 |
9:00~13:00 / 14:30~19:00 |
|
土曜日 |
9:00~12:30 / 13:30~17:00 |
|
木・日・祝 |
休診 |
土曜日の受付は16:30まででです。
祝日のある週の木曜日は診療を行う場合があります。
■ 金山デンタルクリニックへのご予約はこちら
💻 Web予約(初診・定期検診専用):
※治療中や緊急の場合は、お電話でのご予約をおすすめいたします。


